ޚަބަރު

އައްޑޫ އިކުއެޓޯރިއަލް ހޮސްޕިޓަލުގައި ހިތުގެ ބަލިތަކުގެ ފަރުވާތަކެއް ފަށައިފި


  • ހިތުގެ މައްސަލަތަކަށް ބޭނުންވާ މުހިންމު އެހެން ފަރުވާތައްވެސް ތަޢާރަފުކޮށްފައިވޭ

އައްޑޫ އިކުއެޓޯރިއަލް ހޮސްޕިޓަލުގައި ހިތުގެ ބަލިތަކަށް ބޭނުންވާ މުހިއްމު ފަރުވާތަކެއް ފަށައިފިއެވެ.

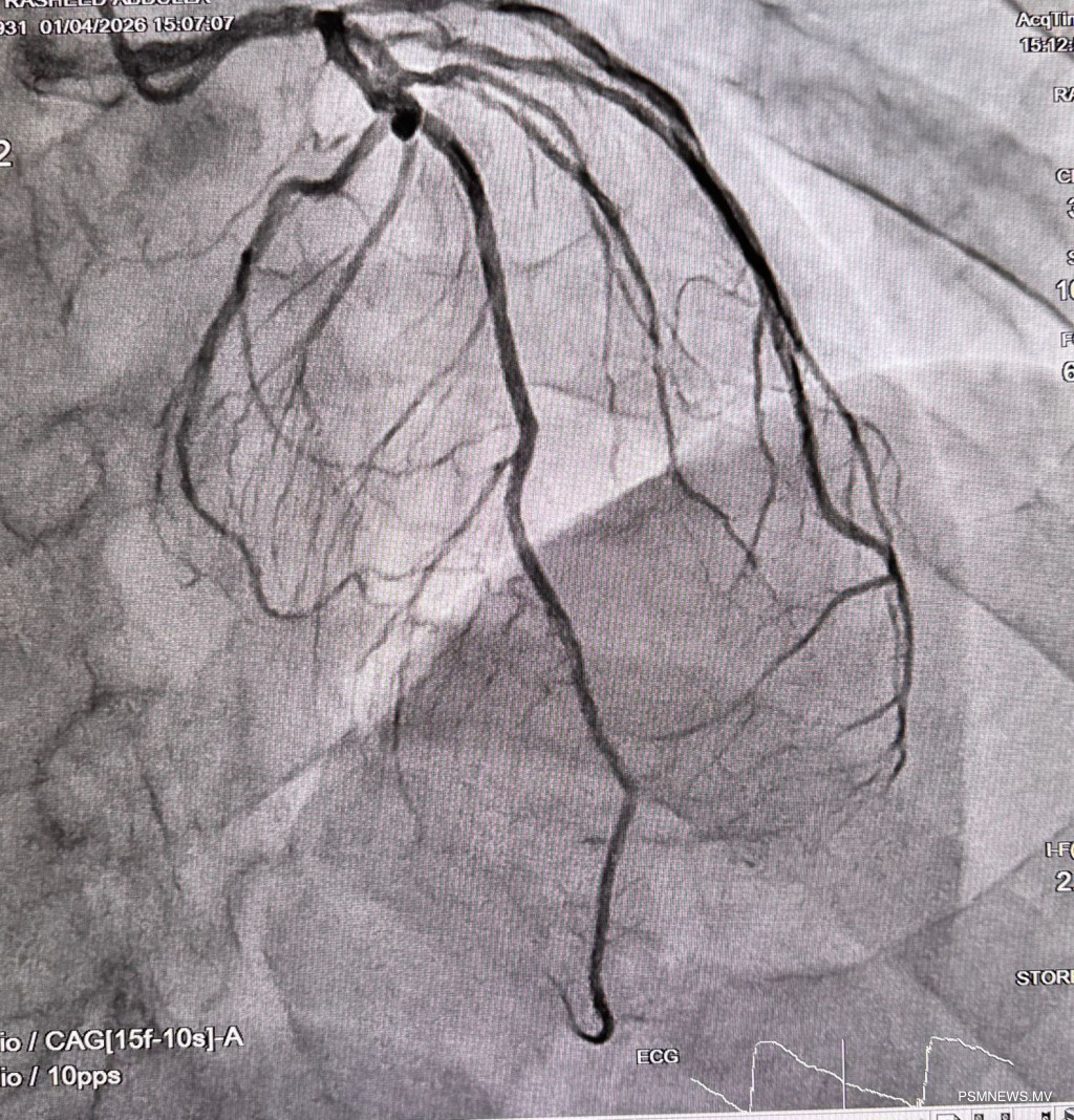
އައްޑޫ އިކުއެޓޯރިއަލް ހޮސްޕިޓަލާއި (އޭއީއެޗް) ނެޝަނަލް ކާޑިއެކް ސެންޓަރު ގުޅިގެން، ރާއްޖޭގެ ދެކުނުގެ ސިއްޙީ ދާއިރާގައި ހިތުގެ ބަލިތަކަށް ފަރުވާދިނުމުގެ ތާރީޚީ ކާމިޔާބީތަކެއް ހޯދާފައެވެ. މާރިޗު 31 އިން އޭޕްރީލް 2 އަށް ކުރިއަށް ގެންދިޔަ މި ޚާއްޞަ ދަތުރުގެ ތެރެއިން، މާލެއިން ބޭރުން ފުރަތަމަ ފަހަރަށް "ޕްރައިމަރީ ޕީ.ސީ.އައި" ނުވަތަ ހާޓް އެޓޭކް ޖެހޭ މީހުންނަށް ދޭ އަވަސް ފަރުވާގެ ޚިދުމަތް އައްޑޫ ސިޓީގައި ކާމިޔާބުކަމާއެކު ވަނީ ފަށާފައެވެ.

މި ދަތުރުގައި ހިތުގެ މައްސަލަތަކަށް ބޭނުންވާ މުހިންމު އެހެން ފަރުވާތައް ވެސް ތަޢާރަފުކޮށްފައިވެއެވެ. އޭގެ ތެރޭގައި "އައި.ސީ.ޑީ" އަދި "ޕާމަނަންޓް ޕޭސްމޭކަރ" ހަރުކުރުމުގެ ޚިދުމަތް ހިމެނެއެވެ. މި މުއްދަތުގެ ތެރޭގައި ޖުމްލަ 11 އެންޖިއޯގްރާމާއި 6 އެންޖިއޯޕްލާސްޓީ ހަދައި، ފުރާނަ ސަލާމަތް ކުރުމަށް ބޭނުންވާ މުހިންމު ފަރުވާތައް ވަނީ ދީފައެވެ.


މިއީ ސިއްޙީ ޚިދުމަތް ލާމަރުކަޒީކޮށް، ރައްޔިތުންނާ ވީހާވެސް ގާތުން ފެންވަރު ރަނގަޅު ފަރުވާ ދިނުމަށް ރައީސުލްޖުމްހޫރިއްޔާ ޑރ. މުޙައްމަދު މުޢިއްޒު ގެންގުޅުއްވާ ހަރުދަނާ ސިޔާސަތުގެ ދަށުން އެޅުނު މުހިންމު ފިޔަވަޅެކެވެ. މި ޚިދުމަތާއެކު، ފަރުވާ ހޯދުމަށް މާލެއަށް ނުވަތަ ރާއްޖޭން ބޭރަށް ކުރަންޖެހޭ ދަތުރުތައް މަދުވެ، ހިތުގެ ބަލިތަކަށް ބޭނުންވާ އަވަސް ފަރުވާގެ ޔަޤީންކަން ދެކުނުގެ ރައްޔިތުންނަށް މިވަނީ ލިބިގެން ގޮސްފައެވެ.